Lekar objavio jezivi snimak, i dao VAŽNO UPOZORENjE!
U kragujevačkom Kliničkom centru u nedelju je od sezonskog gripa preminuo dvadesetpetogodišnji pacijent iz Kragujevca. Generalni direktor KC prof. dr Predrag Sazdanović je potvrdio za medije da je pacijent imao atipične simptome u odnosu na korona virus.
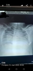
– Reč je o Influenci A, sezonskom gripu. Imao je srčanu slabost i slabost pluća. On je 10 dana osećao slabost organizma, mi smo u subotu insistirali da on bude hospitalizovan, na šta je pristao posle podne. Prebačen je na koronarnu jedinicu i nažalost preminuo je – rekao je za medije direktor Sazdanović. Hirurg Vladimir Đorđević iz Kragujevca objavio je fotografiju pluća preminulog pacijenta sa razlikom od jednog dana, kako bi ukazao na opasnosti virusa gripa i kako bi apelovao na građane da se ne leče „rakijom i belim lukom“. Iako još uvek nisu stigli rezultati obdukcije koji će potvrditi da je u pitanju običan virus, pluća pacijenta su ista kao kod osoba koje su preminule od korona virusa – tvrdi ovaj doktor.

DR.PREDRAG SAZDANOVIĆ FOTO: KURIR


– Nema šta da se objašnjava, ne mogu ovde da držim kurs medicine. Razlika je toliko upadljiva, zato sam okačio kao razglednicu posebno za one što se leče rakijom i belim lukom – napisao je dr Đorđević na Tviteru priznavši da je možda napravio propust što je tako nešto okačio, ali evidentno iz pametnih i opravdanih razloga. Kako i sam kaže slika preminulih od gripa i od korona virusa je ista. – Radi se o preminulom mladiću (25) u nedelju u Kragujevcu, navodno običan grip. Svrha tvita je da ukaže zašto su na respiratoru. I slepac vidi razliku, ne trebaš biti lekar. Isti bolesnik, razlika jedan dan – zaključio je. Prof. dr Predrag Sazdanović je dodao da je „pacijent 1995. godište i da je u nekom periodu kao vozač išao po auto-delove u Sloveniju“. Sazdanović naglašava da je Institut Torlak potvrdio da je pacijent imao sezonski grip, Influencu A, kao i da će uslediti obdukcija preminulog.
Kurir.rs/Telegraf.rs